• anujshah.onco@gmail.com
  • Epic Hospital, Rajpath Rangoli Rd, off Sarkhej - Gandhinagar Highway, Bodakdev, Ahmedabad

Retroperitoneal Tumour Surgery in Ahmedabad

Specialized Surgical Care for Deep-Seated Abdominal Tumors

Advanced Retroperitoneal Tumour Surgery for Cancer Treatment

Expert surgical management of complex tumors located deep within the abdominal cavity.

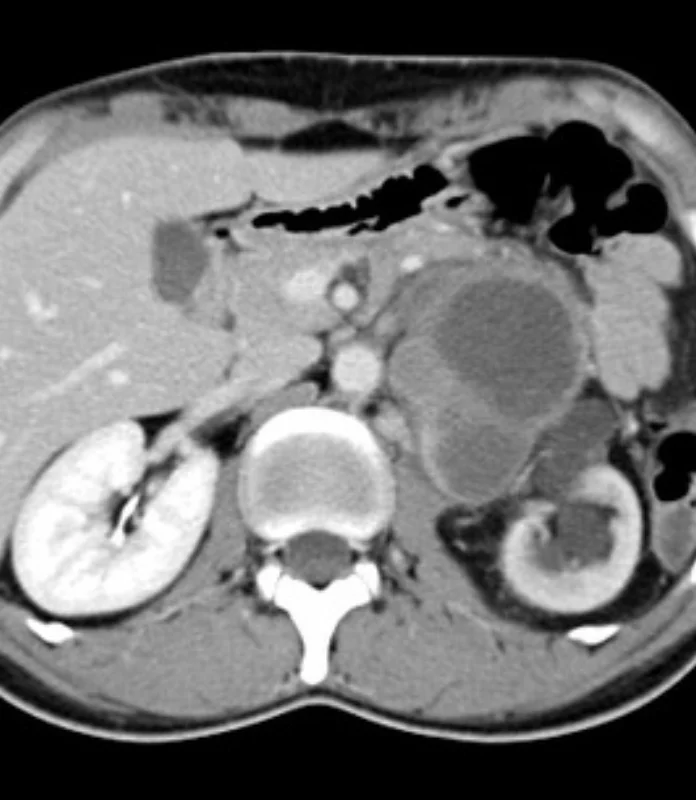
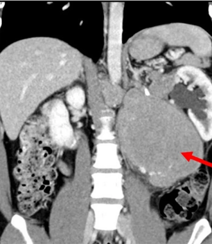
Retroperitoneal tumors develop in the space behind the abdominal organs, close to vital structures such as major blood vessels, kidneys, nerves, and intestines. Due to their location, these tumors often grow silently and are detected at an advanced stage. Under the care of Dr. Anuj Suketu, patients receive specialized evaluation and carefully planned surgery for retroperitoneal tumors. Each procedure is performed with precision, aiming for complete tumor removal while preserving nearby organs and maintaining quality of life.

WHAT IS RETROPERITONEAL TUMOUR SURGERY?

Retroperitoneal tumour surgery involves the surgical removal of tumors arising in the retroperitoneal space, the area behind the abdominal lining.

Primary Goals of Surgery

Surgical planning is based on detailed imaging studies and multidisciplinary evaluation to ensure safe and effective treatment.

Tumour Surgery

TYPES OF RETROPERITONEAL TUMOURS TREATED

Soft Tissue Tumour

Soft Tissue Tumors (Sarcomas)

Large tumors arising from fat, muscle, or connective tissue, often requiring complex surgical removal.

Neurogenic Surgery

Neurogenic
Tumors

Tumors arising from nerves, requiring careful dissection to preserve nerve function.

Tumour Involving Kidney

Tumors Involving Kidneys or Adrenal Glands

May require partial or complete organ removal depending on tumor involvement.

Advance Tumour

Recurrent or Advanced Tumours

Previously treated tumors that have returned or grown near critical structures.

SURGICAL APPROACHES USED

Open Retroperitoneal Surgery

Open Retroperitoneal Surgery

Preferred for large or complex tumors

Allows direct visualization of major vessels and organs

Enables complete tumor removal with safe margins

Minimally Invasive Surgery (Selected Cases)

Laparoscopic or precision-based approaches for suitable tumors

Smaller incisions and reduced post-operative pain

Faster recovery without compromising cancer control

Minimally Invasive Surgery

Experience, Expertise, & Compassion

You Can Trust

Specialized Oncologic Training

Advanced training in surgical oncology with experience in complex tumor resections.

Experience with Challenging Tumor Locations

Skilled in managing tumors near vital organs and major blood vessels.

Experience, Expertise, & Compassion

Expert Care in Retroperitoneal Tumor Surgery

Global Exposure

Familiar with international standards for complex cancer surgery planning and execution.

Precision-Based Surgical Approach

Focused on complete tumor removal while preserving organ function.

Dr. Anuj believes that the best surgical approach is the one personalized to the patient, not a one size fits all method. Every decision is made with the aim of:

Maximum cancer clearance

Minimum complications

Better long-term quality of life

Tumour Surgery

FAQs

Frequently Asked Questions

No, some tumors are benign, but many require surgery due to size, symptoms, or cancer risk.

Treatment depends on tumor type, size, symptoms, and growth pattern. Surgery is often the primary treatment.

Retroperitoneal surgery is complex due to tumor location and requires specialized oncologic expertise.

Recovery varies depending on tumor size and surgery type, with gradual improvement over several weeks.

Yes, selected cases may be suitable for minimally invasive techniques after careful evaluation.

Dr Anuj Suketu GI Cancer

Book a Consultation

Dr. Anuj offers expert guidance, minimally invasive treatment, and compassionate care throughout the process.

Need Any Help? We’re There For You

If you or a loved one has been diagnosed with a retroperitoneal tumor, early expert evaluation is crucial.

Scroll to Top